Notícias

Extrações dentárias na Ortodontia. Santa Maria 31/08/20

Extrações dentárias na Ortodontia. Santa Maria 31/08/20

Extrações dentárias na Ortodontia. Santa Maria 31/08/20

31/08/19 - Ortodontia

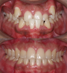
A Ortodontia foi a primeira especialidade odontológica criada, ainda no século XIX. O americano Edward H. Angle, um brilhante Ortodontista, foi o maior responsável pela organização da Ortodontia como especialidade e suas publicações ainda são referência na literatura ortodôntica mundial. De acordo com Angle, a oclusão ideal deveria ser obtida com relação de molares e caninos em Classe I e todos os dentes em boca, portanto, sem extrações de dentes permanentes. Para tanto, o tratamento ortodôntico deveria obrigatoriamente obter espaço nos arcos para acomodação de todos os dentes, através de expansões laterais, projeção de dentes anteriores ou ainda distalização de dentes posteriores. Angle formou muitos profissionais que seguiram suas teorias por muitos anos, no entanto, alguns de seus discípulos como Calvin Case e Charles Tweed se opuseram as teorias de Angle de não extrair dentes ao perceber que somente 20% de seus casos foram tratados com sucesso e mantinham estabilidade no pós tratamento. De acordo com Tweed, o insucesso e instabilidade ocorriam principalmente pela projeção dos dentes anteriores, devido a falta de espaço solucionada sem extrações. Tweed retratou muitos dos seus casos considerados de insucesso com extração de dentes permanentes e obteve resultados excelentes e muito mais estáveis após o retratamento. A partir de então, as extrações de dentes permanentes passaram a ser utilizadas comumente nos tratamentos ortodônticos como forma de se obter espaço para o alinhamento de todos os dentes. 

Atualmente, algumas correntes filosóficas na Ortodontia propõe novamente a não extração de dentes permanentes considerando que a remoção desses dentes poderia sempre prejudicar a estética facial através da redução do volume dos lábios. Muitos trabalhos bem conduzidos já demonstraram não haver relação direta entre a extração de dentes permanentes e prejuízo na estética facial, pois além da extração em si, outros fatores devem estar associados para alterar ou não o volume dos lábios, como quantidade de espaço necessário para alinhamento dos dentes permanentes, posição antero posterior dos dentes anteriores ao início do tratamento, espessura dos lábios, padrão esquelético sagital e vertical e ainda o tipo de movimento dentário que será feito após a extração dos dentes. Além disso, muitos casos requerem a redução na projeção dos dentes anteriores, com consequente movimentação dos lábios, proporcionando um perfil mais agradável e selamento labial passivo.